无辐射,高分辨率:详解动物磁共振MRI适用症状
磁共振(MRI)凭借其无辐射、高软组织分辨率的优势,在动物临床诊断中主要用于评估组织器官的微观结构异常,尤其适用于中枢神经系统、肌肉骨骼系统、腹腔实质器官及软组织病变的精准诊断。以下从不同系统分类,系统阐述动物 MRI 的核心适应症:
一、中枢神经系统
中枢神经系统疾病是磁共振最核心且首选的适应症:中枢神经系统(脑、脊髓)组织精密且结构复杂,MRI 能清晰区分灰质、白质、脑脊液及病变组织等,是诊断脑部和脊髓疾病的 “金标准”,尤其适用于犬、猫等常见伴侣动物,也可用于马、小型哺乳动物(如兔、豚鼠)等。
1.脑部病变
脑肿瘤:脑膜瘤、胶质瘤、室管膜瘤、转移瘤等(判断肿瘤位置、边界、是否侵犯脑组织 / 脑室);
脑血管疾病:脑梗死(缺血性卒中)、脑出血(创伤性 / 自发性)、脑软化灶等;


脑出血(图一) 脑出血(图二)
炎症 / 感染:脑炎(病毒性如犬瘟热、细菌性、真菌性如隐球菌病)、脑膜炎等;


脑炎(图一) 脑炎(图二)
创伤性损伤:脑挫伤、脑震荡、硬膜下 / 硬膜外血肿、脑室扩张(脑积水)等;
退行性疾病:犬认知功能障碍(老年犬)、遗传性脑白质病(如某些品种犬的先天性白质发育不良)等。
诊断价值:MRI可清晰显示病变的 “信号特征”(如肿瘤多为 T1 低信号、T2 高信号,出血在不同时期信号变化不同),结合增强扫描(静脉注射造影剂)判断病变血供,为手术 / 放疗方案提供依据。
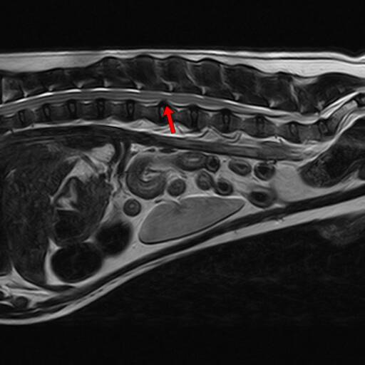
2.脊髓病变
椎间盘疾病:椎间盘突出( HansenⅠ型,急性压迫脊髓)、椎间盘突出(HansenⅡ 型,慢性压迫)、椎间盘钙化等;


椎间盘突出(图一) 椎间盘突出(图二)
脊髓肿瘤:星形细胞瘤、少突胶质细胞瘤、神经鞘瘤、转移性肿瘤(如前列腺癌转移)等;
炎症 / 感染:脊髓炎(细菌性 / 病毒性)、寄生虫感染(如棘球蚴病)等;


脊髓炎(图一) 脊髓炎(图二)
创伤性损伤:脊髓挫伤、脊髓截断、硬膜外血肿等;
退行性疾病:脊髓空洞症等。
诊断价值:MRI可精准定位压迫位置(如颈椎 C2/C3、腰椎 L4/L5等)、判断脊髓水肿 / 出血程度,避免 X 线 / CT 对软组织显示不足的缺陷(如 CT 难以区分脊髓水肿与肿瘤)等。
二、肌肉骨骼系统
MRI 对肌肉、肌腱、韧带、关节囊等软组织的分辨率远高于 X 线和 CT,主要用于诊断 “隐性” 或复杂的运动系统病变,尤其适用于运动功能依赖度高的动物(如工作犬、竞技马)。
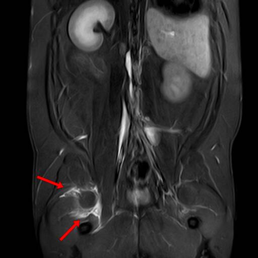
1.关节疾病
适应症:犬髋关节发育不良(CHD)继发的软骨损伤、滑膜炎、关节腔积液;膝关节十字韧带断裂(前十字韧带撕裂是犬常见损伤)、半月板损伤、关节内游离体;马的关节(球节)软骨退化、肌腱炎等。

髋关节炎(图一)
髋关节炎(图二)优势:MRI可直接显示软骨磨损(T2 加权像上软骨信号变薄 / 消失)、韧带断裂的位置(如前十字韧带连续性中断)等,避免 X 线仅能显示骨增生的局限性。
2.肌肉与肌腱病变
适应症:肌肉挫伤、撕裂(如犬跳跃导致的股四头肌撕裂)、肌炎(免疫介导性 / 感染性);肌腱炎(如马的跟腱炎)、肌腱钙化、肌腱断裂等。
优势:MRI 可区分 “水肿”(T2 高信号)与 “纤维化”(T1 低信号),判断病变处于急性期还是慢性期,指导治疗方案(如急性期休息、慢性期理疗)。
3.骨骼病变(补充 CT 的不足)
适应症:骨肿瘤(如骨肉瘤、软骨肉瘤,判断肿瘤是否侵犯骨髓腔);骨感染(如骨髓炎,显示骨髓水肿与脓肿);先天性骨发育异常(如幼犬的多发性骨软骨病)等。


骨髓炎(图一) 骨髓炎(图二)
优势:CT 擅长显示骨皮质结构,而 MRI 可评估骨髓内病变(如骨肉导致的骨髓信号异常),二者结合可更全面判断肿瘤范围。
MRI 对肝脏、肾脏、胰腺、前列腺等实质器官的 “功能区” 和 “病变性质” 判断有优势,尤其适用于区分 “良性病变” 与 “恶性肿瘤”,但因检查时间较长(需动物深度镇静)、伪影较多(需配合门控设备或降低伪影技术),临床应用略少于超声和 CT,多用于疑难病例。
1.肝脏病变
适应症:肝肿瘤(肝细胞癌、胆管癌、转移瘤);肝脓肿、肝囊肿(区分单纯囊肿与囊腺瘤);肝炎(如犬的慢性活动性肝炎,显示肝实质水肿);门静脉分流(先天性 / 后天性,评估分流血管的位置与直径)等。
优势:MRI通过 “动态增强扫描”(注射造影剂后不同时间点成像),可区分肝细胞癌(动脉期强化、门脉期消退)与良性血管瘤(渐进性强化)。
2.肾脏病变
适应症:肾肿瘤(肾细胞癌、移行细胞癌);肾囊肿(多囊肾,常见于波斯猫);肾盂肾炎(细菌性感染导致的肾盂扩张与肾实质水肿);肾梗死(缺血性病变)等。
优势:MRI可清晰显示肾皮质、髓质的分界,判断病变是否侵犯肾周脂肪(如肾肿瘤的外侵范围),避免超声对肾周病变显示不清的问题等。
3.胰腺病变
适应症:急性胰腺炎(显示胰腺水肿、周围渗出液);慢性胰腺炎(胰腺纤维化、假性囊肿形成);胰腺肿瘤(胰腺癌,虽少见,但 MRI 可评估肿瘤是否侵犯周围血管)等。
优势:胰腺炎的炎症渗出在 T2 加权像上呈高信号,可精准定位炎症范围,比超声更易识别早期轻微水肿。
4.盆腔器官病变
适应症:犬前列腺疾病(前列腺炎、前列腺增生、前列腺癌,区分增生的良性腺体与恶性肿瘤);猫泌尿系统疾(膀胱肿瘤如移行细胞癌、膀胱壁增厚的性质判断);子宫疾病(子宫蓄脓、子宫肌瘤、子宫腺癌)等。
优势:MRI可显示前列腺包膜是否完整(癌性病变常突破包膜)、膀胱壁的分层结构(肿瘤导致的膀胱壁不规则增厚),为手术切除范围提供依据等。
四、软组织与纵隔病变
MRI 对皮下、筋膜、纵隔等部位的软组织肿块性质判断有不可替代的优势,可区分 “囊性”“实性”“脂肪性” 或 “血管性” 病变。
1.皮下与深部软组织肿块
适应症:脂肪瘤(判断是否为浸润性脂肪瘤)、皮脂腺囊肿、神经鞘瘤、软组织肉瘤(如纤维肉瘤、滑膜肉瘤,评估肿瘤是否侵犯肌肉 / 血管);脓肿、血肿(区分急性血肿与慢性血肿)等。
优势:脂肪瘤在 T2及T1 加权像上呈高信号(与脂肪信号一致),增强扫描无强化,可与实性肿瘤(增强扫描有强化)快速鉴别。
2.纵隔与胸腔病变
适应症:纵隔肿瘤(淋巴瘤、胸腺瘤、脂肪瘤,常见于犬猫);胸腔积液(区分漏出液、渗出液,MRI 信号可提示液体性质,如血性积液 T1 呈高信号);肺门淋巴结肿大(判断是否为肿瘤转移或炎症)等。

纵隔肿瘤(图一)
优势:CT 擅长显示肺部结节,但 MRI 对纵隔软组织(如胸腺、淋巴结)的分辨率更高,可避免 CT 对纵隔脂肪与肿瘤区分不清的问题。
1.眼部疾病
适应症:眼内肿瘤(如葡萄膜黑色素瘤)、视网膜脱落(显示视网膜与脉络膜的分离)、眼眶炎症 / 肿瘤(如眼眶脓肿、骨肉瘤)等。
优势:高分辨率 MRI 可显示眼部细微结构(如视网、玻璃体),避免避免超声对眼内肿瘤边界判断的误差。
2.口腔与鼻腔疾病
适应症:鼻腔肿瘤(如鼻腺癌、鳞状细胞癌,判断肿瘤是否侵犯鼻窦、颅底);口腔肿瘤(如牙龈癌、颌骨肿瘤);鼻窦炎(慢性感染导致的鼻窦黏膜增厚与积液)等。
优势:MRI可评估肿瘤是否侵犯颅底骨质(如鼻腔肿瘤侵入颅内),为手术是否可行提供关键依据等。
1.核心价值
无辐射、高软组织分辨率,是中枢神经系统、肌肉韧带、实质器官病变的“精准诊断工具”,尤其适用于 X 线 / CT 难以明确的病变。
2.局限性
检查时间长(需动物深度镇静 / 麻醉)、设备成本高、对金属异物(如骨折内固定钉)敏感(会产生伪影),且对肺部病变(含气组织信号低)诊断价值低于 CT。
临床应用中,需结合动物品种、病史、体格检查及其他影像(X 线、超声、CT)结果,合理选择 MRI 检查,以最大化其诊断效能。

扫码关注